您的位置:首页 > 产品中心 > Anti-HPa3 Antibody, clone HIC3-2D12
Anti-HPa3 Antibody, clone HIC3-2D12

产品别名
Anti-HPa3 Antibody, clone HIC3-2D12
Non-beta endocrine cells
基本信息
| eCl@ss | 32160702 |
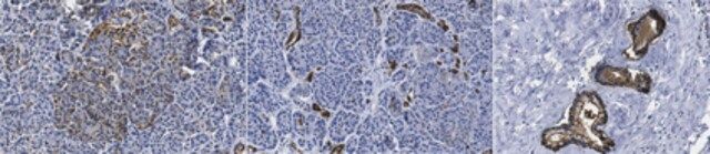
| General description【一般描述】 | Pancreas performs both the endocrine and the exocrine function. The bulk of pancreas is composed of exocrine cells that produce digestion enzymes which are released into ducts to be emptied into the duodenum. The endocrine pancreas is composed of islets of Langerhans that produce hormones. At least five distinct endocrine cell types have been identified in the endocrine pancreas, each producing a different hormone. Beta cells produce insulin, which is considered as an anabolic hormone and regulates blood glucose levels and is also involved in fat and protein synthesis. Alpha cells produce glucagon that acts when blood glucose levels are low. Ductal cells of pancreas form the epithelial lining of the branched tubes that deliver digestive enzymes into the duodenum. They also secrete bicarbonate to neutralize acidic contents coming in from stomach. Duct cells may contribute up to 10% of all pancreatic cells. Acinar cells function as a unit of the exocrine pancreas and they synthesize, store, and secrete digestive enzymes (lipase, alpha amylase, trypsin, and chymotrypsin), which under normal physiological conditions are activated only after reaching the duodenum. Premature activation of these enzymes within pancreatic acinar cells can lead to acute pancreatitis. Clone HIC-2D2 can be used to mark all non-beta endocrine cell types in human pancreatic tissue. (Ref.: Dorrell, C., et al. (2008). Stem Cell Research (2008). 1(3); 183-194; Grapin-Botton, A (2005). Int. J. Biochem. Cell Biol. 37(3); 504-510; Leung, PS (2006). Int. J. Biochem. Cell Biol. 38(7); 1024-1030). |
| Specificity【特异性】 | Clone HIC3-2D12 detects human pancreatic non-beta endocrine cells. |
| Immunogen【免疫原】 | Human pancreatic islets enriched in non-beta endocine cells. |
| Application【应用】 | Anti-HPa3, clone HIC3-2D12, Cat. No. MABS1998, is a mouse monoclonal antibody that detects human pancreatic non-beta endocrine cells and has been tested for use in Flow Cytometry and Immunohistochemistry (Paraffin). Research Category Signaling Flow Cytometry Analysis: A representative lot detected HPa3 in Flow Cytometry applications (Dorrell, C., et. al. (2008). Stem Cell Res. 1(3):183-94; Bramswig, N.C., et. al. (2013). J Clin Invest. 123(3):1275-84; Dorrell, C., et. al. (2016). Nat Commun. 7:11756). |
| Quality【质量】 | Evaluated by Immunohistochemistry (Paraffin) in human pancreatic tissue sections. Immunohistochemistry (Paraffin) Analysis: A 1:50 dilution of this antibody detected HPa3 in human pancreatic tissue sections. |
| Physical form【外形】 | Purified mouse monoclonal antibody IgM in PBS with 0.05% sodium azide. Format: Purified Purified by ion-exchange chromatography |
| Other Notes【其他说明】 | Concentration: Please refer to lot specific datasheet. |
产品性质
| biological source【生物来源】 | mouse |
| antibody form【抗体形式】 | purified immunoglobulin |
| antibody product type | primary antibodies |
| clone【克隆】 | HIC3-2D12, monoclonal |
| species reactivity | human |
| packaging【包装】 | antibody small pack of 25 μg |
| technique(s) | flow cytometry: suitable immunohistochemistry: suitable (paraffin) |
| isotype【同位素/亚型】 | IgMκ |
| NCBI accession no.【NCBI登记号】 | NP_004608.1 |
| UniProt accession no.【UniProt登记号】 | P48230 |
产品说明
| Storage and Stability【储存及稳定性】 | Stable for 1 year at 2-8°C from date of receipt. |
| Disclaimer【免责声明】 | Unless otherwise stated in our catalog or other company documentation accompanying the product(s), our products are intended for research use only and are not to be used for any other purpose, which includes but is not limited to, unauthorized commercial uses, in vitro diagnostic uses, ex vivo or in vivo therapeutic uses or any type of consumption or application to humans or animals. |




