您的位置:首页 > 产品中心 > Anti-GLI3
产品别名
Anti-GLI3
ACLS
PAPA
GCPS
PAP-A
PAPB
基本信息
| NACRES | NA.41 |
| Immunogen【免疫原】 | Synthetic peptide of human GLI3 |
| Features and Benefits【特点和优势】 | Evaluate our antibodies with complete peace of mind. If the antibody does not perform in your application, we will issue a full credit or replacement antibody. Learn more. |
| Physical form【外形】 | Rabbit IgG in pH7.4 PBS, 0.05% NaN3, 40% Glycerol. |
产品性质
| biological source【生物来源】 | rabbit |
| Quality Level【质量水平】 | 100 |
| antibody form【抗体形式】 | affinity isolated antibody |
| antibody product type | primary antibodies |
| clone【克隆】 | polyclonal |
| form【形式】 | buffered aqueous glycerol solution |
| species reactivity | mouse, human |
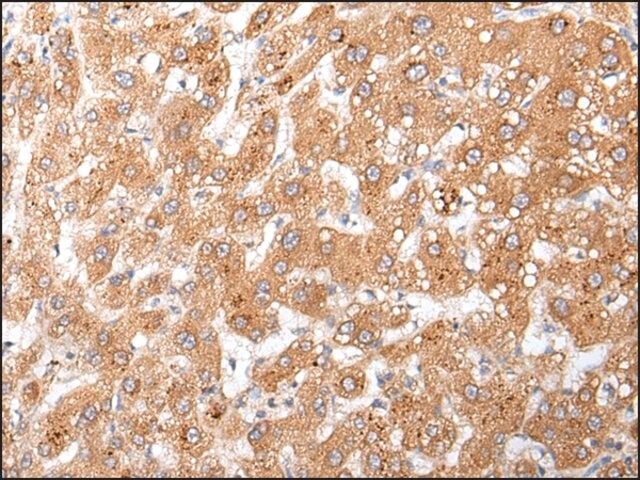
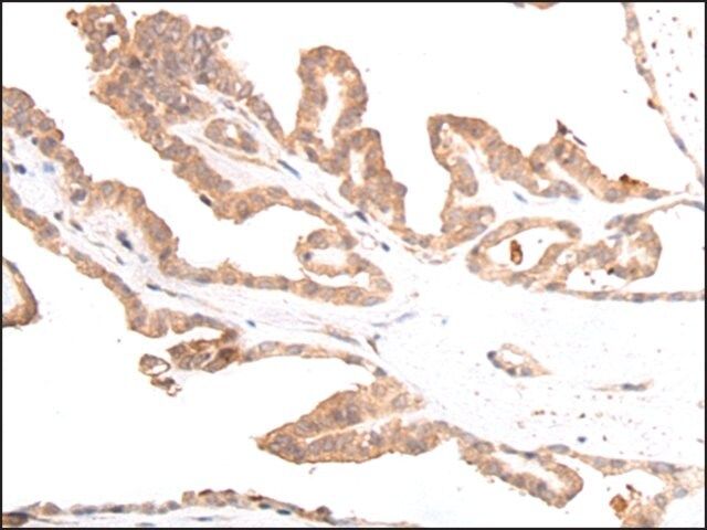
| technique(s) | immunohistochemistry: 1: 20-100 western blot: 1:200-1:1000 |
| accession no.【登记号】 | NP_000159 |
| UniProt accession no.【UniProt登记号】 | P10071 |
| shipped in【运输】 | wet ice |
| storage temp.【储存温度】 | −20℃ |
| Gene Information | human ... GLI3(2737) |
安全信息
| Storage Class Code【储存分类代码】 | 12 - Non Combustible Liquids |
| WGK | WGK 1 |







