您的位置:首页 > 产品中心 > Anti-GABA(A)R, Alpha1 Protein Antibody, clone N95/35
Anti-GABA(A)R, Alpha1 Protein Antibody, clone N95/35

产品别名
Anti-GABA(A)R, Alpha1 Protein Antibody, clone N95/35
Gamma-aminobutyric acid receptor subunit alpha-1, GABA(A) receptor subunit alpha-1
基本信息
| eCl@ss | 32160702 |
| NACRES | NA.41 |
| General description【一般描述】 | The neurotransmitter GABA (gamma-aminobutyric acid) binds to specific transmembrane receptors in the plasma membrane of both pre- and postsynaptic neurons. Three general classes of GABA receptors are known: GABAA and GABAC (ionotropic) receptors and GABAB (metabotropic) receptors. The GABAA (gamma-Aminobutyric Acid type A) receptor is a multiprotein complex that acts as a ligand-gated chloride channel. These receptors are hetero-oligomers, for which 6 subunits are currently known (a, b, g, d, e and r). There are at least 6 different isoforms of the alpha subunit, and receptor subunit expression varies during development. Increased alpha1 subunit assembly in postsynaptic receptors of cerebellar inhibitory synapses is responsible for the fast inhibitory synaptic currents observed during postnatal development. Additionally, alpha1-containing GABAA receptors are important in regulating the reinforcing properties of alcohol, and expression of the alpha1 subunit increases upon chronic exposure to alcohol, making it a potential therapeutic target for alcohol dependency. |
| Specificity【特异性】 | This antibody recognizes the cytoplasmic domain of GABA(A)R, Alpha1 Protein. This antibody does not demonstrate cross-reactivity against GABA(A)R2 and GABA(A)R3 (Prof. J. Trimmer, University of California, Davis). |
| Immunogen【免疫原】 | Recombinant protein corresponding to the cytoplasmic domain of mouse GABA(A)R, Alpha1 Protein. Epitope: Cytoplasmic domain |
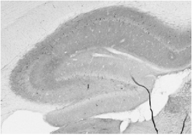
| Application【应用】 | Immunohistochemistry Analysis: A representative lot detected GABA(A)R, Alpha1 Protein in rat hippocampus tissue (Prof. J. Trimmer, University of California, Davis). Western Blot Analysis: A representative lot detected GABA(A)R, Alpha1 Protein in RBM membrane extracts, COS cell lysates transiently transfected with GABA(A)R, Alpha1 Protein, and in WT mice but not in GABA(A)R Alpha1 knockout mice. Research Category Neuroscience This Anti-GABA(A)R, Alpha1 Protein Antibody, clone N95/35 is validated for use in Western Blotting, IHC for the detection of GABA(A)R, Alpha1 Protein, clone N95/35. Research Sub Category Neurotransmitters & Receptors |
| Quality【质量】 | Evaluated by Western Blotting in mouse brain tissue lysate. Western Blot Analysis: 2 µg/mL of this antibody detected GABA(A)R, Alpha1 Protein in 10 µg of mouse brain tissue lysate. |
| Physical form【外形】 | Purified mouse monoclonal IgG2a in buffer containing 0.1 M Tris-Glycine (pH 7.4), 150 mM NaCl with 0.05% sodium azide. Format: Purified Protein G Purified |
| Analysis Note【分析说明】 | Control Mouse brain tissue lysate |
| Other Notes【其他说明】 | Concentration: Please refer to the Certificate of Analysis for the lot-specific concentration. |
产品性质
| Quality Level【质量水平】 | 100 |
| biological source【生物来源】 | mouse |
| antibody form【抗体形式】 | purified antibody |
| antibody product type | primary antibodies |
| clone【克隆】 | N95/35, monoclonal |
| species reactivity | rat, mouse |
| technique(s) | immunohistochemistry: suitable western blot: suitable |
| isotype【同位素/亚型】 | IgG2a |
| NCBI accession no.【NCBI登记号】 | NP_034380 |
| UniProt accession no.【UniProt登记号】 | P62812 |
| shipped in【运输】 | wet ice |
产品说明
| Target description【目标描述】 | ~55 kDa observed |
| Storage and Stability【储存及稳定性】 | Stable for 1 year at 2-8°C from date of receipt. |
| Disclaimer【免责声明】 | Unless otherwise stated in our catalog or other company documentation accompanying the product(s), our products are intended for research use only and are not to be used for any other purpose, which includes but is not limited to, unauthorized commercial uses, in vitro diagnostic uses, ex vivo or in vivo therapeutic uses or any type of consumption or application to humans or animals. |
安全信息
| Storage Class Code【储存分类代码】 | 12 - Non Combustible Liquids |
| WGK | WGK 1 |




