您的位置:首页 > 产品中心 > Mammaglobin Cocktail (304-1A5 &31A5) Mouse/Rabbit Monoclonal Antibodies
Mammaglobin Cocktail (304-1A5 &31A5) Mouse/Rabbit Monoclonal Antibodies

基本信息
| NACRES | NA.41 | ||||
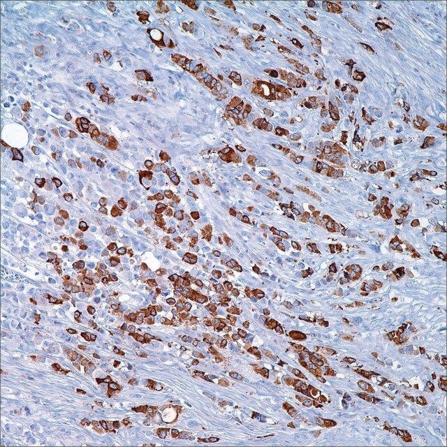
| General description【一般描述】 | Mammaglobin (10 kD) is a breast-associated glycoprotein distantly related to secretoglobin family that includes human uteroglobin and lipophilin. Mammaglobin mRNA is present in high levels in human breast cancer cell lines, which has been shown to be a sensitive marker of breast cancer. When combined with other breast-restricted markers such as GCDFP-15, an overall sensitivity for breast carcinoma of 84% has been achieved. Anti-Mammaglobin can also be used to determine breast origin in the setting of metastatic carcinoma. | ||||
| Quality【质量】 |
| ||||
| Physical form【外形】 | Solution in Tris Buffer, pH 7.3-7.7, with 1% BSA and <0.1% Sodium Azide | ||||
| Preparation Note【制备说明】 | Download the IFU specific to your product lot and format Note: This requires a keycode which can be found on your packaging or product label. Download the latest released IFU Note: This IFU may not apply to your specific product lot. | ||||
| Other Notes【其他说明】 | For Technical Service please contact: 800-665-7284 or email: service@cellmarque.com |
产品性质
| Quality Level【质量水平】 | 300 100 |
| biological source【生物来源】 | mouse rabbit |
| conjugate【偶联物】 | unconjugated |
| antibody form【抗体形式】 | purified immunoglobulin |
| antibody product type | primary antibodies |
| clone【克隆】 | 304-1A5/31A5, monoclonal |
| description【描述】 | For In Vitro Diagnostic Use in Select Regions (See Chart). |
| form【形式】 | buffered aqueous solution |
| species reactivity | human |
| packaging【包装】 | vial of 0.1 mL concentrate (280C-14-ASR) vial of 0.5 mL concentrate (280C-15-ASR) bottle of 1.0 mL predilute (280C-17-ASR) vial of 1.0 mL concentrate (280C-16-ASR) bottle of 7.0 mL predilute (280C-18-ASR) |
| concentration【浓度】 | 0.01-1 μg/mL (predilute) 2-270 μg/mL (concentrate) |
| technique(s) | immunohistochemistry: 1:100-1:500 |
| isotype【同位素/亚型】 | IgG1 IgG |
| shipped in【运输】 | wet ice |
| storage temp.【储存温度】 | 2-8℃ |








