您的位置:首页 > 产品中心 > Anti-phospho-Estrogen Receptor-α (pSer102) antibody produced in rabbit
Anti-phospho-Estrogen Receptor-α (pSer102) antibody produced in rabbit

产品别名
Anti-phospho-Estrogen Receptor-α (pSer102) antibody produced in rabbit
ER
ESR1
ESR
ESTR
NR3A1
基本信息
| NACRES | NA.41  | 
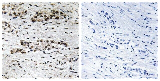
| Specificity【特异性】 | The antibody detects endogenous levels of Estrogen Receptor-α only when phosphorylated at serine 102.  | 
| Immunogen【免疫原】 | Peptide sequence around phosphorylation site of Serine102(L-N-S(p)-V-S) derived from Human Estrogen Receptor-α.  | 
| Features and Benefits【特点和优势】 | Evaluate our antibodies with complete peace of mind. If the antibody does not perform in your application, we will issue a full credit or replacement antibody. Learn more.  | 
| Physical form【外形】 | Rabbit IgG in phosphate buffered saline (without Mg2+ and Ca2+), pH 7.4, 150mM NaCl, 0.02% sodium azide and 50% glycerol.  | 
产品性质
| biological source【生物来源】 | rabbit  | 
| Quality Level【质量水平】 | 100  | 
| antibody form【抗体形式】 | affinity isolated antibody  | 
| antibody product type | primary antibodies  | 
| clone【克隆】 | polyclonal  | 
| form【形式】 | buffered aqueous solution  | 
| mol wt【分子量】 |  53 kDa  | 
| species reactivity | mouse, human, rat  | 
| concentration【浓度】 | 1.0 mg/mL  | 
| technique(s) | immunohistochemistry: 1:50-1:100 western blot: 1:500-1:1000 (Cell Lysate)  | 
| isotype【同位素/亚型】 | IgG  | 
| accession no.【登记号】 | NP_000116.2.  | 
| UniProt accession no.【UniProt登记号】 | P03372  | 
| shipped in【运输】 | wet ice  | 
| storage temp.【储存温度】 | −20℃  | 
| Gene Information | human ... ESR1(2099)  | 
产品说明
| Disclaimer【免责声明】 | Unless otherwise stated in our catalog or other company documentation accompanying the product(s), our products are intended for research use only and are not to be used for any other purpose, which includes but is not limited to, unauthorized commercial uses, in vitro diagnostic uses, ex vivo or in vivo therapeutic uses or any type of consumption or application to humans or animals.  | 
安全信息
| Storage Class Code【储存分类代码】 | 12 - Non Combustible Liquids  | 
| WGK | WGK 1  | 





