您的位置:首页 > 产品中心 > Anti-Fibrillin-1 antibody produced in rabbit
Anti-Fibrillin-1 antibody produced in rabbit

产品别名
Anti-Fibrillin-1 antibody produced in rabbit
MFS1
FBN
MASS
fibrillin-1
M350 kda glycoprotein component extracellular microfibril
基本信息
| MDL number | MFCD02262898 |
| NACRES | NA.41 |
| General description【一般描述】 | Fibrillin-1 is a multidomain cysteine-rich glycoprotein that belongs to the fibrillin protein family. It is encoded by the FBN1 gene mapped to human chromosome 15q21. Fibrillin-1 structure includes 43 calcium-binding epidermal growth factor (cbEGF)–like domains and 78 cysteine-containing TB motifs. The protein is ubiquitously present and is a vital component of elastic fiber–associated microfibrils in connective tissues. Anti-Fibrillin-1 Antibody detects endogenous levels of total Fibrillin-1 protein. |
| Immunogen【免疫原】 | The antiserum was produced against synthesized peptide derived from human Fibrillin-1. Immunogen Range: 2811-2860 |
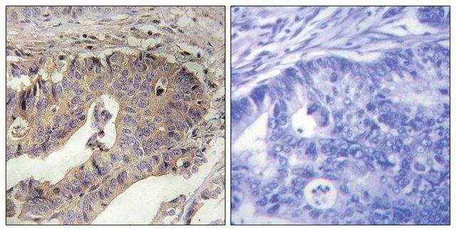
| Application【应用】 | Anti-Fibrillin-1 antibody produced in rabbit has been used in immunohistochemical staining (1:50). |
| Biochem/physiol Actions【生化/生理作用】 | Fibrillin-1 protein plays an important role in the fibrillogenesis in elastic tissues and non-elastic tissues. It acts as an anchoring fiber and induces Smad2 signaling by regulating the bioavailability of endogenous transforming growth factor β1 (TGF-β1). Mutation in the FBN1 gene leads to the development of heritable disorder Marfan syndrome. Mutation of this gene also causes thoracic aortic aneurysms in patients without Marfan syndrome. |
| Features and Benefits【特点和优势】 | Evaluate our antibodies with complete peace of mind. If the antibody does not perform in your application, we will issue a full credit or replacement antibody. Learn more. |
| Physical form【外形】 | Rabbit IgG in phosphate buffered saline (without Mg2+ and Ca2+), pH 7.4, 150mM NaCl, 0.02% sodium azide and 50% glycerol. |
产品性质
| biological source【生物来源】 | rabbit |
| Quality Level【质量水平】 | 100 |
| conjugate【偶联物】 | unconjugated |
| antibody form【抗体形式】 | affinity isolated antibody |
| antibody product type | primary antibodies |
| clone【克隆】 | polyclonal |
| form【形式】 | buffered aqueous solution |
| mol wt【分子量】 | antigen 312 kDa |
| species reactivity | mouse, rat, human |
| concentration【浓度】 | ~1 mg/mL |
| technique(s) | ELISA: 1:40000 immunohistochemistry: 1:50-1:100 |
| NCBI accession no.【NCBI登记号】 | P35555 |
| UniProt accession no.【UniProt登记号】 | P35555 |
| shipped in【运输】 | wet ice |
| storage temp.【储存温度】 | −20℃ |
| Gene Information | human ... FBN1(2200) |
产品说明
| Disclaimer【免责声明】 | Unless otherwise stated in our catalog or other company documentation accompanying the product(s), our products are intended for research use only and are not to be used for any other purpose, which includes but is not limited to, unauthorized commercial uses, in vitro diagnostic uses, ex vivo or in vivo therapeutic uses or any type of consumption or application to humans or animals. |
安全信息
| Storage Class Code【储存分类代码】 | 12 - Non Combustible Liquids |
| WGK | nwg |




